Your Partner for Preclinical and Translational CNS Imaging
Perceptive Discovery delivers integrated CNS imaging and biomarker capabilities that bridge preclinical research with early clinical translation. Our teams combine advanced in vivo imaging with radiochemistry and target-validation assays to generate high-quality data that supports confident decision-making.
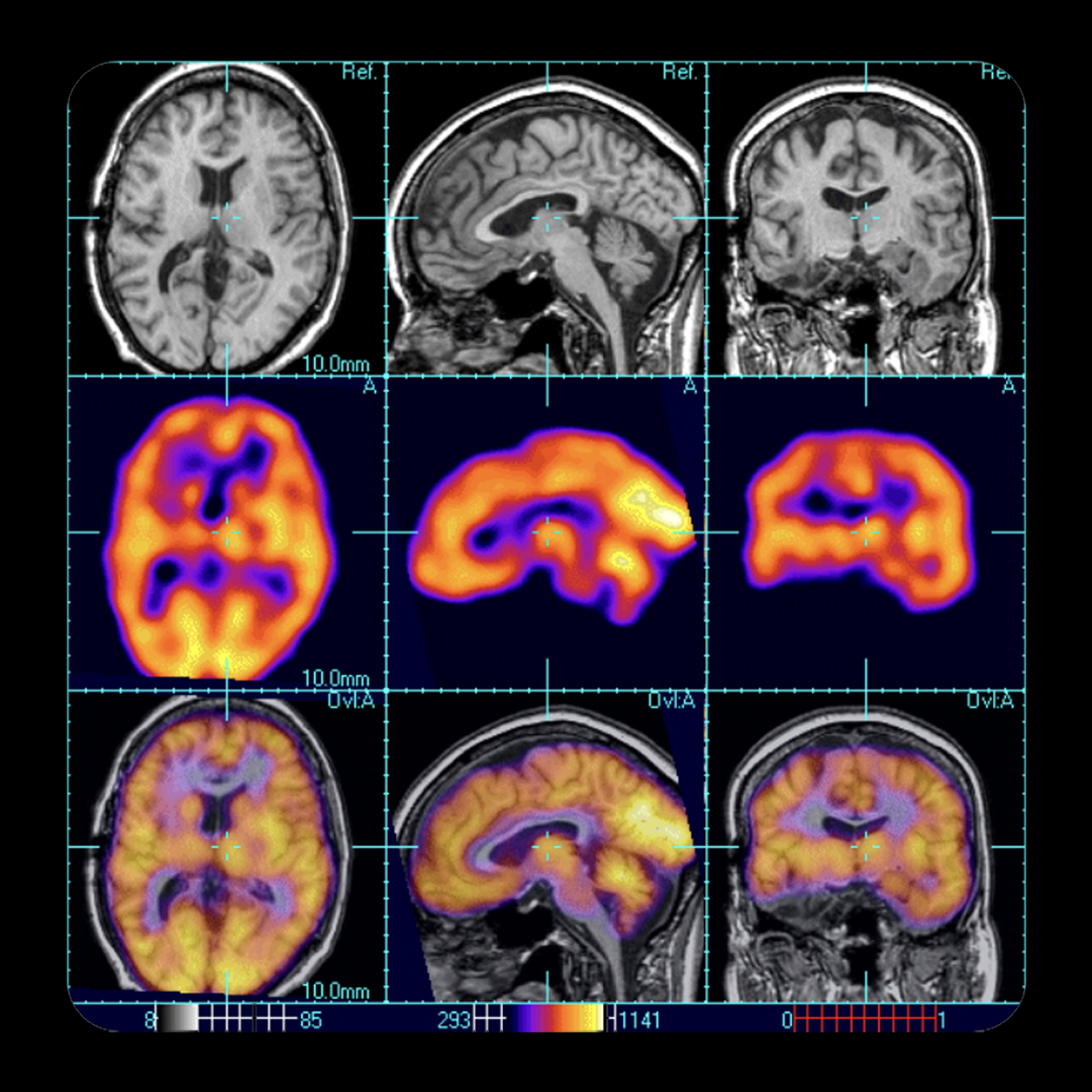
From biodistribution, occupancy, and pharmacodynamic studies to volumetric imaging and radioligand binding, we provide end-to-end support that accelerates neuroscience programs toward IND readiness.
We work across a broad range of CNS indications, including Alzheimer’s disease, Parkinson’s disease, depression, and neuroinflammation, enabling smarter discovery and translation for small molecules, biologics, and gene or RNA therapies.
Comprehensive In Vivo CNS Imaging Expertise
- 11,000+ studies completed, including neurology and neurodegeneration models
- Full suite of in vivo CNS imaging modalities: PET, SPECT, MRI, CT, BLI, FMRI, cryofluorescence tomography (CFT)
- Quantitative biomarker imaging for target engagement, neurotransmitter release, and volumetric brain analysis
- Experience with small molecules, ASOs, siRNA, antibodies, and viral vectors (e.g., AAVs)
- Multi-species expertise: rodents, non-human primates, and transgenic models
CNS Imaging Services Built for Translational Impact
Biodistribution & PK/PD Imaging
Track CNS delivery, half-life, and clearance of small molecules, antibodies, ASOs, and viral therapies using multi-modal imaging.
Radioligand Binding & Occupancy Studies
Quantify in vivo target engagement with saturation/competition binding and dose-occupancy modeling, supporting dose selection and IND readiness.
Neurotransmitter & Brain Activity Mapping
Measure neurotransmitter release, metabolism, and functional brain changes using PET, MRS, and autoradiography.
Structural & Volumetric Imaging
Assess treatment impact on brain morphology with high-resolution MRI, DTI, and segmentation- based volumetric analysis.
Radiochemistry & Molecular Imaging for CNS Applications
Perceptive Discovery integrates radiolabeling chemistry and molecular imaging to advance neuroscience programs
Our preclinical neuroscience CRO platform offers end-to-end support from tracer design through imaging execution
- Access to short- and long-lived radioisotopes: C-11, F-18, I-125, Tc-99m
- Labeling of small molecules, antibodies, ASOs, AAVs, siRNA, and novel ligands
- QC, purification, bioactivity testing, and stability analysis
- Dual in vivo/ex vivo workflows for enriched spatial and temporal resolution
Radionuclide Experience
| Application | Radionuclide |
|---|---|
| PET | 18F 18F (GMP) 64Cu 11C (GMP) 68Ga 89Zr 89Zr (GMP) 124| 86y 52Mn |
| SPECT half life <24 h | 99mTc 123| 123| (GMP) 99mTc (GMP) |
| SPECT long-lived | 67Ga 75Se 111|n 125| 203Pb 67Cu |
| Alpha Therapeutics | 225Ac 211At 212Pb |
| Beta Therapeutics | 177Lu 186Re 188Re 161Tb 90y 131| 67Cu |
| Low energy beta emitters | 3H 14℃ 32P 35S |
- Select Beta emitter (3H 14C) labeling is outsourced
- Other radionuclides available on request
- Non-metals for PET: 11C 13N 150 18F 124|
- Non-metals for SPECT: 123| 1251
Therapeutic Areas & Imaging Capabilities
Purpose-Built Solutions for CNS Programs
| Research Focus | Capabilities |
|---|---|
| Target Occupancy & Dose Optimization | PET, autoradiography, in vivo dose-occupancy curves |
| Gene & RNA Therapy Imaging | Biodistribution, transduction, expression tracking via PET, SPECT, CFT, IHC |
| Neurodegeneration & Atrophy Analysis | DTI, volumetric MRI, cortical mapping, tractography |
| Neurotransmitter Activity & PK/PD | Dopamine, serotonin, opioid release studies via MRS and PET |
| Biomarker Discovery & Validation | Custom radioligand development, receptor binding, Quanticell™ IHC |
Discover Our Clinical Trial Imaging Solutions
Our early-phase imaging centers in London and New Haven offer advanced PET/MRI and biomarker imaging to bridge preclinical CNS findings into human studies. Combined with Perceptive’s global clinical imaging core lab, we provide full clinical trial imaging support, including protocol design, site management, and centralized reads.
In-House Clinical and Imaging Centers
Imaging Core Lab
How Can We Help?
Reach out today and one of our solution experts will be in touch to learn about your specific needs.
"*" indicates required fields
Stay Updated
Never miss a beat.
Sign up to receive emails covering industry news and useful content to help you advance clinical development.