Asset Type: Webinars, Imaging, Imaging Core Lab, Oncology

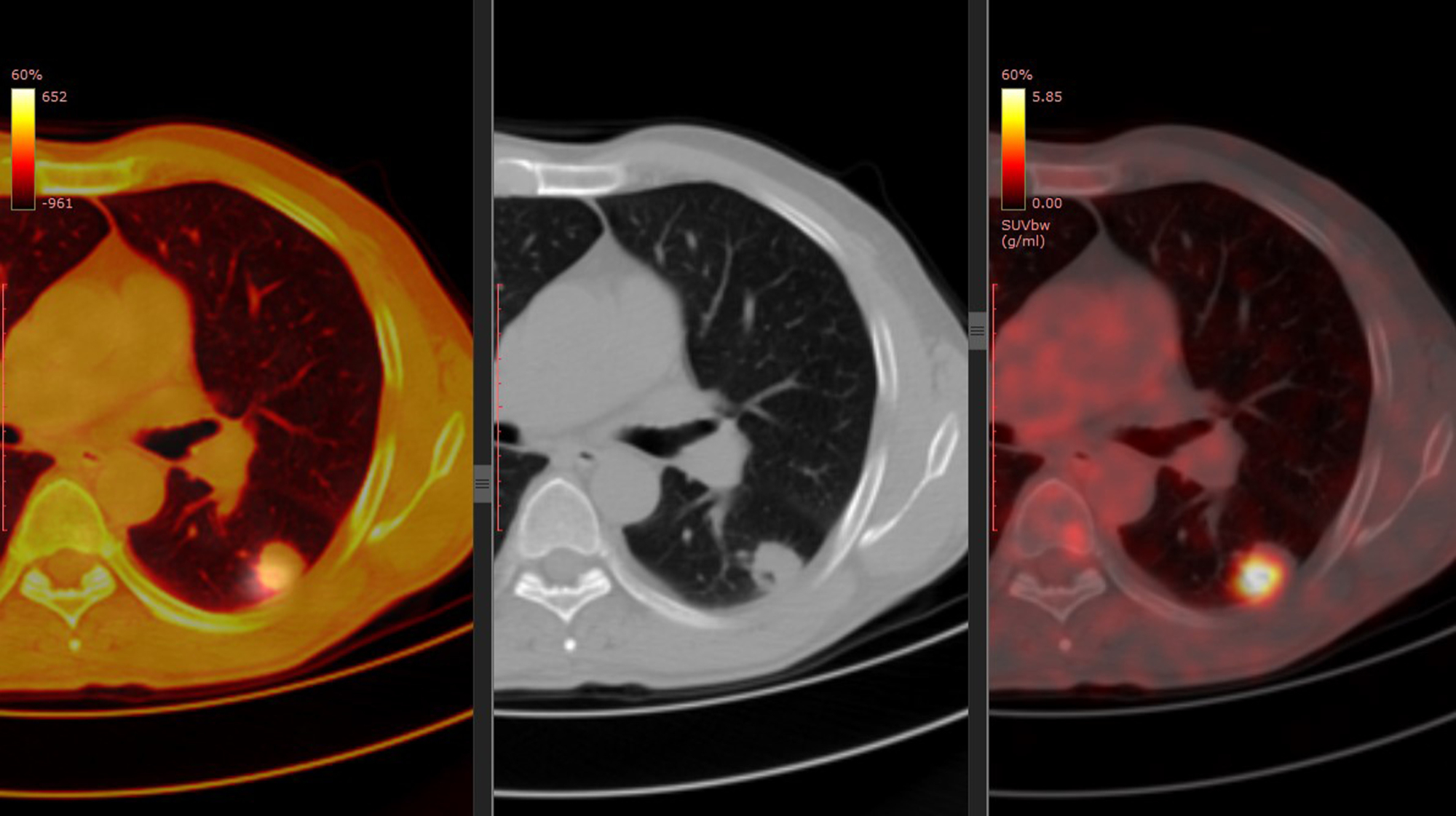
Centralized Imaging in Early Phase Oncology Trials

Oliver Bohnsack, MD, PhD, VP, Scientific & Medical Services, Head of Oncology
Oliver Bohnsack, MD, PhD, VP, Scientific & Medical Services, Head of Oncology
Amy Jung Hyun Lee, Ph.D, Sr. Project Manager
Amy Jung Hyun Lee, Ph.D, Sr. Project Manager
Centralized Imaging in Early Phase Oncology Trials

Centralized Imaging in Early Phase Oncology Trials

 

Our Perceptive Imaging scientists will review:

  • Operational benefits and key considerations when implementing central imaging in clinical studies.
  • Scientific considerations in early‑phase oncology and the critical role of BICR (Blind Independent Central Reading) in ensuring high‑quality, unbiased imaging data.
  • How BICR rolling reads enhance safety monitoring, particularly in studies with elevated risk of interstitial lung disease (ILD) in ADC drug.

 

Watch On-Demand

This field is for validation purposes and should be left unchanged.
Subscribe