Asset Type: Webinars, Imaging, Imaging Core Lab, Oncology

The Critical Impact of Radiotherapy Quality Management and Imaging for Oncology Trials

The Critical Impact of Radiotherapy Quality Management and Imaging for Oncology Trials

On-demand Webinar

The majority of oncology patients receive radiotherapy (RT) as part of their treatment. In the context of pharmaceutical clinical trials, RT may be delivered as part of the study question or for other indications before or after study treatment. Notably, significant variability exists in how RT treatment is planned and delivered, which may have direct consequences on tumor control, toxicity, and ultimately the outcome of clinical trials. Historically, pharmaceutical studies have not controlled for the impact of RT, leaving open the potential to bias outcomes in either direction regarding tumor response and tolerability.

Fortunately, RT plans may be readily captured and analyzed using standardized file formats (DICOM-RT) which allows for objective assessment of targets and organs at risk. Such data may be objectively evaluated to assess RT quality, including likelihood of tumor control and toxicity, as well as providing a blueprint for subsequent evaluation of post-treatment imaging. The rigor and timeliness of RT quality assessment can be customized to meet the needs of the sponsor based on trial design, ranging from rapid review of plans prior to study treatment to passive capture of DICOM-RT data for subsequent secondary analyses, and multiple variations within.

This webinar demonstrates how Perceptive Imaging and Radialogica are closing a critical gap in oncology trials by ensuring radiotherapy quality in the context of centralized imaging, which drives more accurate treatment decisions and preserves trial integrity. Key topics include:

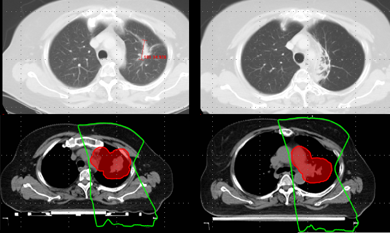
  • The impact radiation can have on clinical trial outcomes (ex: a clinical trial may have subjects progressing too early, not because of a failed treatment but merely because of the radiation delivered previously.)
  • Differentiating between expected Radiation Induced Lung Injury (RILI) changes versus tumor progression
  • Quantifying RILI in relation to time elapsed since radiation
  • How Perceptive and Radialogica work together to overcome the radiotherapy and deliver more reliable and robust imaging data for oncology clinical trials

 

Presenters:

Oliver Bohnsack, MD, PhD, VP, Scientific & Medical Services, Head of Oncology, Perceptive Imaging

Dr. Bohnsack is a board-certified radiologist with clinical experience in both EU and USA. For 20+ years he’s been reputably positioned at the forefront of oncology imaging advances in the clinical trial industry. He co-authored irRC in 2007 and published irRECIST in 2014 which were subsequently validated in February 2022. Both criteria remain the gold standard in solid-tumor oncology and especially I-O imaging. Oliver earned his M.D. from the University of Essen, Germany, his MBA in Healthcare Management from the University of California and his PhD in Radiology, Radiation Modulation and Reduction in CT at the University of Munich.

Cliff Robinson, MD, Chief Medical Officer, Radialogica

Dr. Robinson is a Professor of Radiation Oncology and Cardiology at Washington University in St. Louis. He holds several leadership roles, including Associate Director of Clinical Programs, Medical Director of Radiation Oncology Clinical Research, Chief of the Cardiothoracic and Stereotactic Body Radiotherapy services, and Co-Director of the Center for Noninvasive Cardiac Radiotherapy. Dr. Robinson has established research interests developing and standardizing advanced radiotherapy technologies and novel drug combinations, promoting and codifying multi-disciplinary care and patient-centered decision making, and developing and testing new indications for radiotherapy. He is a Principal investigator for the international randomized PACIFIC-4 trial examining SBRT with or without immunotherapy for early-stage lung cancer, a multi-center NIH R01 funded trial examining patient-centered decision making for early stage lung cancer, and an NIH U54 center grant exploring tumor microenvironment effects after radiotherapy. He is also a key developer of the pivotal randomized Varian sponsored RADIATE-VT trial comparing cardiac radioablation to repeat catheter ablation for patients with high-risk refractory ventricular tachycardia.

Watch Webinar

This field is for validation purposes and should be left unchanged.
Subscribe